您当前所在的位置:首页 > 新闻中心 > 科室新闻

普外一科(肝胆胰、血管外科)丨什么症状可以看血管外科

发布时间:2021-05-19 阅读次数:22

 

 

 


什么症状可以看血管外科

   严格意义上,血管外科应该称之为 peripheral vascular surgery(周围血管外科)。它是负责全身除心脏以外循环系统各处血管发生的疾病,如动脉硬化狭窄闭塞,动脉瘤或夹层等动脉扩张疾病,静脉血栓,静脉曲张以及各种血管畸形,还包括可通过血管介入手段治疗的疾病等。如果您出现了以下这些症状,建议及时到血管外科就诊排查是否存在血管疾病。

什么症状可以看血管外科

 

   肢体凉、麻、痛:包括肢体畏寒怕冷,麻木不适,以及肢体活动后疼痛,肢体活动后疼痛医学上也称之为"间歇性跛行",即指行走一段距离后出现的肢体肌肉部位酸胀疼痛,站立休息一会可缓解继续行走,再行走一段距离后又重复出现疼痛症状,此外,如果不活动即出现明显疼痛,甚至影响夜间休息,可能提示疾病发展严重,上述症状提示您可能出现了下肢动脉硬化闭塞,如不及时治疗甚至会发展至截肢,需及时就医血管外科。


什么症状可以看血管外科

什么症状可以看血管外科

 

   肢体肿胀:深静脉血栓形成大多发生在下肢。临床表现常常为单侧(左侧多见)下肢的肿胀、疼痛等。长时坐位、长途飞行、外科大手术、肿瘤、长期卧床、创伤等,都是造成静脉血栓的因素。静脉血栓(尤其是深静脉血栓)的危害包括:肺栓塞、血栓后遗症、股青肿等。

什么症状可以看血管外科什么症状可以看血管外科

什么症状可以看血管外科什么症状可以看血管外科

   肢体或足趾破溃:如果既往合并高血压或者糖尿病的老人,因为意外受伤出现肢体或足趾破溃,且经过1-2周也无法愈合,也可能是下肢动脉硬化闭塞或糖尿病足的表现,要及时就医血管外科,否则破溃会继续扩大,甚至威胁肢体甚至生命。

什么症状可以看血管外科

 

   脉搏减弱消失:健康人可在腕部或脚面触及明显动脉搏动,如果搏动减弱或消失提示动脉狭窄或堵塞,需及时就医。

什么症状可以看血管外科

 

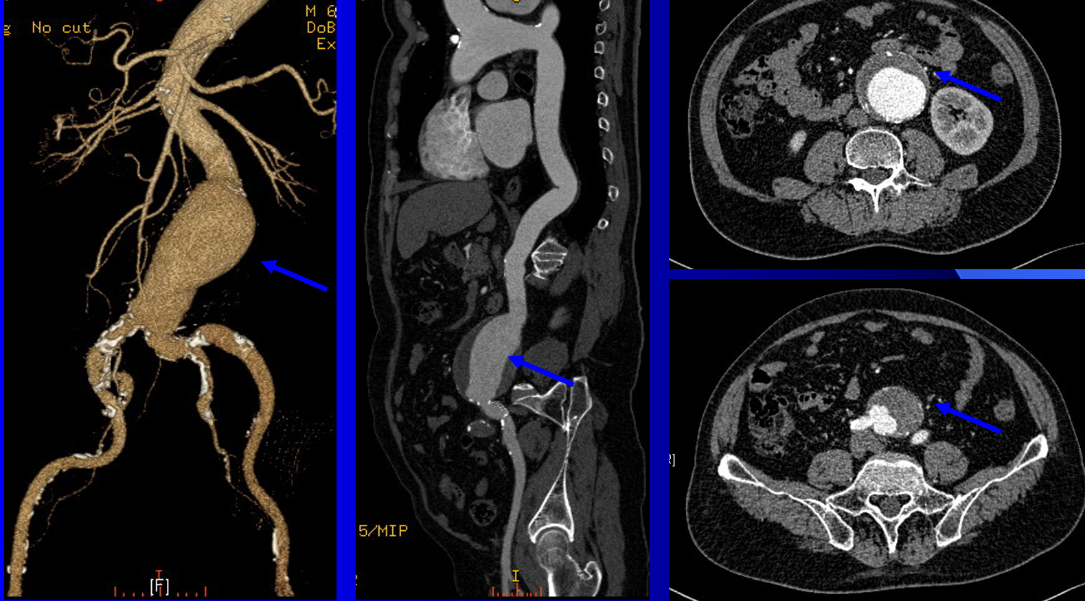
   搏动性肿物:颈部、肢体或腹部摸到搏动性肿物,搏动频率与心跳相近,提示可能存在动脉瘤,如不及时治疗甚至会破裂危及生命。

什么症状可以看血管外科

 

什么症状可以看血管外科

 

   静脉曲张:肢体青筋暴露,甚至瘙痒、发黑、破溃、静脉炎症等。

什么症状可以看血管外科什么症状可以看血管外科

什么症状可以看血管外科

 

   急性胸背部疼痛:急性胸背部疼痛可能为夹层导致,发病突然,危险度高,病变常迅速向近端扩展导致心包填塞而致患者死亡,或向远端延伸阻塞主动脉的分支血管出现相应部位缺血,其中Stanford A型主动脉夹层24小时死亡率>35%,超过一半的患者在48小时内死亡,30天死亡率>95%。因此,尽早处理,选择合适的治疗方式是挽救生命的关键。TAAD单一的内科保守治疗效果不好,一经确诊,应积极手术治疗。

什么症状可以看血管外科什么症状可以看血管外科

   当您胸痛由肩背-胸背-腰腹-下肢转变时,且合并胸片纵膈增宽+化验检查D-二聚体升高,建议尽早血管外科就诊,急诊完善胸主动脉CTA。明确是否存在主动脉夹层。

   透析通路的维护:终末期肾病患者需要长期透析维持生命,透析通路在透析过程中是一个慢性消耗过程,需要肾病科、血透中心、血管外科在通路的建立、规划、维护上紧密协作。

什么症状可以看血管外科什么症状可以看血管外科

什么症状可以看血管外科什么症状可以看血管外科


安徽省第二人民医院肝胆血管外科简介: 
   现有医护人员25人,江淮名医1人,高级职称4人,博士2人,在读博士1人,硕士生导师2人,获批安徽省"115"产业创新团队。拥有STOZE高清腹腔镜、进口纤维胆道镜、硬质胆道镜、腹部撑开器、术中超声、血管腔内激光闭合器等先进的专科医疗设备。常规开展腹腔镜胆囊切除术、多镜联合胆道探查术、经皮经肝胆道镜技术(获批安徽省卫健委适宜技术推广项目)、腹腔镜肝脏切除术、腹腔镜肝硬化巨脾切除术、胰十二指肠切除术、肝门部胆管癌根治术、胆囊癌根治术、肝胆胰超声介入治疗、肝癌血管介入治疗、急性重症胰腺炎微创升阶梯规范化治疗、开放性或闭合性腹部损伤治疗、下肢静脉血栓治疗、下肢动脉硬化闭塞症及糖尿病足的治疗、各类动静脉畸形及血管瘤的治疗、大隐静脉激光闭合术、静脉输液港植入术等手术。逐步形成胆石症微创诊疗中心、肝胆胰肿瘤MDT中心、重症胰腺炎MDT中心、下肢深静脉血栓VTE中心等特色诊疗中心,独立开展多镜联合胆道探查术、经皮经肝胆道镜技术、肝癌血管介入治疗、肝胆胰超声介入治疗、腹腔镜解剖性肝切除术、大隐静脉激光闭合术等特色技术,应用于胆囊结石、胆管结石、多次胆道手术、复杂肝胆管结石、肝癌、胆管癌、胰腺癌、急性胰腺炎、大隐静脉曲张等疾病的诊疗。在胆石症微创诊疗、肝癌血管介入、肝胆胰超声介入及外周动静脉血管疾病的治疗方面位于省内先进水平。

学科带头人简介:

什么症状可以看血管外科

 

   曹葆强  医学博士/博士后,副主任医师、副教授,硕士生导师,肝胆胰、血管外科主任,安徽省胆石症微创诊疗中心创始人、主任,安徽省适宜技术推广项目负责人,省级临床重点专科(普外科)负责人,第十三批"115"产业创新团队带头人,中华医学会安徽省外科学分会委员,肝胆学组委员,安徽省血管外科分会常委。

技术骨干:

什么症状可以看血管外科

 

   付大鹏,医学博士,主治医师,发表国内、外学术论文十余篇,专利3项目,主持省级自然科学基金项目1项,获得省市级科技进步奖数项,德-中科技基金交流项目(DCTA)公派德国哥廷根大学附属医院血管外科交流学者,先后多次于国内血管外科中心、血液透析通路中心交流学习。



返回顶部
0

电话:0551-64272019(预约挂号) 0551-64286009(急诊) 0551-64272108(体检中心)

地址:安徽省合肥市北二环砀山路1868号(主院)

安徽省合肥市黄山路199号(南区) 安徽省合肥市临淮路1号(临淮路院区)

举报:ahs2yjj@163.com 举报电话:0551-64286067 皖公网安备 34019002600115号 皖ICP备15005307号-1

0
0